how to see xray on patient first portal

by Hayden Kozey 5 min read

Xray Services | Breaks and Fractures - Patient First

30 hours ago On-Site Services. Since 1981, Patient First has provided urgent and primary health care on a non-appointment basis in convenient locations. Walk in to see a physician and walk out with a whole new view of health care. We can perform lab tests, take x … >> Go To The Portal


Do I need a patient first Portal account to view results?

NOTICE: You must have a Patient First Portal account in order to view and/or transmit your lab results and visit information. All first-time Patient First Patients are given a Portal Activation Code during registration.

What is the patient portal and how do I use it?

The Patient Portal provides patients a convenient resource and a home for their Patient First medical records. Once registered, you may use the portal to: View Your Medical History: Have full access to your Patient First visit history, on any device. View Your Lab Results: Get immediate access to your lab results as soon as they become available.

Do you offer X-rays at patient first?

Yes. Every Patient First is equipped for routine digital x-rays of the chest, abdomen, spine, skull and extremities. To learn more about digital imaging at Patient First, please visit our X-rays page.

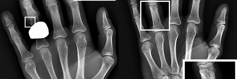
What can an on-site X-ray tell you?

This means if you come in with a fracture, for example, we can confirm the break, put a splint on it, and, if necessary, arrange for you to see a specialist. Our on-site x-ray also helps our physicians diagnose conditions such as pneumonia, kidney stones, and dislocations.

image

What information should I have available when I call Patient First about my bill?

We are here to help you understand your bill. However, Patient First can only help explain bills after the insurance company has taken action. If y...

What is the best time for me to call your billing department hotline?

For your convenience, we are available from 8:30 a.m. to 5 p.m., Monday through Friday.

I have a bill from Patient First that should have been paid by my insurance company. What’s going on...

Patient First routinely bills insurance companies within two days of the date of service. If the insurer does not respond within 60 days, we assume...

Can you help me with questions I have about my insurance benefits?

We want to help you resolve issues concerning your account. However, we cannot answer questions about your health insurance benefits. Insurance pla...

When I go to Patient First, what would I do if I recently got a new job with a different insurance p...

It is our standard procedure to ask you for your insurance card at each visit, so always bring your most recent insurance card with you. It is espe...

What is the Patient First payment policy?

Click here to view our payment policy.

Do you take my insurance?

Patient First accepts all major health insurance plans and will file claims for you. To determine if we participate with your plan, please visit ou...

How much does a visit cost?

How much you pay for your visit depends on your insurance plan. If you do not have insurance or have an insurance with which do not participate, Pa...

What is the difference between co-payment, deductible, and co-insurance?

Co-Payment – The fixed out-of-pocket cost you pay for a visit, defined by your insurance plan. Deductible – The cumulative amount you must pay out-...

How can I change the credit care on file for an upcoming scheduled payment?

At any time prior to the scheduled charge date, you can pay your balance online by visiting make a payment using any valid credit or HSA card. We w...

How to contact the Patient Portal?

You may also contact us for support 8 a.m. to 5 p.m., Monday through Friday at (800)447-8588.

Where is Patient First located?

Patient First operates 76 conveniently located Neighborhood Medical Centers in Virginia, Maryland, Pennsylvania, and New Jersey. To find a center near you, please visit our Locations page.

What is a patient first physician?

If Patient First, or a Patient First physician, is listed as your Primary Care Physician (PCP) with your Health Maintenance Organization (HMO) or Point of Service (POS) plan, you will typically need to contact the Referral Department to obtain a referral or preauthorization for specialty visits and certain services.

What do you call a PCP for a referral?

Before we can process your referral request, you must have the approval of your Patient First Primary Care Physician (PCP). If a prior referral authorization has expired or you have used all your authorized visits, you will need to call your PCP for approval first.

How to contact Patient First Referral Center?

Depending on your insurance, you may need to call the Patient First Referral Center at (800) 370-8197 at least two weekdays prior to your appointment so that approval for your visit with the specialist can be obtained from your insurance company.

How long does it take for a patient to bill insurance?

Patient First routinely bills insurance companies within two days of the date of service . If the insurer does not respond within 60 days, we assume that our billing information is invalid or incorrect or that the patient did not have the listed health insurance plan in force at the time of service and we will bill the patient. If the bill was sent to the wrong insurer, please call us to give us the correct information and then we will be glad to submit your claim.

What is the phone number for patient first?

If we haven't answered your question already, please refer to the articles below, or give us a call toll free at (800) 447-8588 .

Where is the transmit button on a test?

While viewing the visit during which you had the test (instructions above), Click “Transmit” at the top of your screen.

Do you need a patient first portal account to see lab results?

NOTICE: You must have a Patient First Portal account in order to view and/or transmit your lab results and visit information.

image